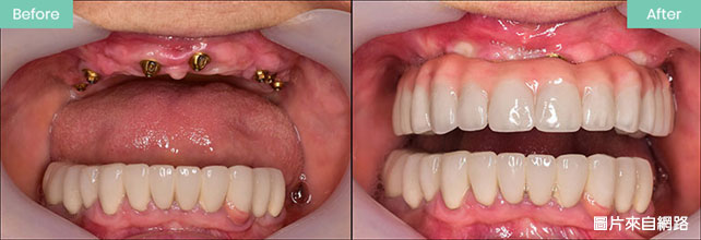
全口植牙 / All-on-4 牙科醫生想你要知的事情!
上一期和大家簡介了全口植牙的原理和歷史,今次以問答方式解答一些關於全口植牙/all-on-4 常見的問題。記得考慮植牙之前要向你相熟的既可以醫生做詳細的諮詢!
全口植牙 VS all-on-4 有什麼分別?
全口植牙是根據現有的牙骨放入植體,義齒是可以分段拆除的;而all-on-4 只在牙骨內植入4支植體,義齒是“一體化”的。 All-on-4 的手術需要截除部分牙骨,再用假牙來代替牙肉,所以沒有任何一種其他全口固定義齒,可以做到像 All-on-4 假牙這樣的美觀、以假亂真。
全口植牙/all-on-4 的流程?
1. 詳細檢查口腔情況 和 病歷,拍攝 CBCT 和 拍攝照片和套取牙模
2. 設計義齒,試戴假, 設計和商討手術方案。
3. 進行植牙手術 和 配戴臨時義齒。
4. 等待病人適應臨時義齒,作出修改並 製做最後的假牙
5. 定期覆診保養!
簡單講,並非每個人都適合!
全口植牙/all-on-4 通常是針對全口無牙 且 覺得活動假牙不方便使用的患者。術前必須給專業的牙醫評估。
如有嚴重的糖尿病、牙周病、服用骨質酥鬆的口服藥/針劑或無法自理患者,都不建議接受植牙重建。
當選擇植牙來做義齒,就要有心理準備假牙破損 或 植體發炎的可能。以All-on-4為例,文獻1指出18年內每三人就會有假牙破損或斷裂的經驗,而每四個人就會有一個會經歷植體發炎。 這些併發症通常可以修復及治療,不必擔心
吸煙可以做植牙嗎?
吸煙並非代表絕對不可做植牙,但患者要清楚明白吸煙會降低植牙的成功率。
因為尼古丁會降低牙骨血液和氧氣流入,減慢新成代謝。與沒吸煙的患者相比,吸煙者的傷口不容易癒合,植牙將來更加容易鬆脫。
所以會建議患者戒菸 或 考慮其他容易維護的植牙義齒方案。
植牙手術一般在局部麻醉下進行,過程是無痛的。手術過程有經驗的牙科醫生通常2~4小時之內即可完成。 術後會有一週輕微腫痛,一般止痛藥足以止痛。
緊張的患者 或 複雜的個案 可以考慮 靜脈監測麻醉(MAC) 下進行手術,並不需要全身麻醉,在診所便可進行。
縱使植牙有其潛在的風險,但亦是除全口活動假牙之外的最好選擇。選你的治療,除了知道它的好處外,
ref:
1. Clin Implant Dent Relat Res 2019 Aug;21(4):565-577. doi: 10.1111/cid.12769. Epub 2019 Mar 28.
2. 設計義齒,試戴假, 設計和商討手術方案。
3. 進行植牙手術 和 配戴臨時義齒。
4. 等待病人適應臨時義齒,作出修改並 製做最後的假牙
5. 定期覆診保養!
全口植牙/all-on-4 適合所有人嗎?
簡單講,並非每個人都適合!
全口植牙/all-on-4 通常是針對全口無牙 且 覺得活動假牙不方便使用的患者。術前必須給專業的牙醫評估。
如有嚴重的糖尿病、牙周病、服用骨質酥鬆的口服藥/針劑或無法自理患者,都不建議接受植牙重建。
全口植牙/All-on-4 有什麼風險?
當選擇植牙來做義齒,就要有心理準備假牙破損 或 植體發炎的可能。以All-on-4為例,文獻1指出18年內每三人就會有假牙破損或斷裂的經驗,而每四個人就會有一個會經歷植體發炎。 這些併發症通常可以修復及治療,不必擔心
吸煙可以做植牙嗎?
吸煙並非代表絕對不可做植牙,但患者要清楚明白吸煙會降低植牙的成功率。
因為尼古丁會降低牙骨血液和氧氣流入,減慢新成代謝。與沒吸煙的患者相比,吸煙者的傷口不容易癒合,植牙將來更加容易鬆脫。
所以會建議患者戒菸 或 考慮其他容易維護的植牙義齒方案。
手術過程痛唔痛?要做幾耐?麻醉藥過後會唔會好痛?
植牙手術一般在局部麻醉下進行,過程是無痛的。手術過程有經驗的牙科醫生通常2~4小時之內即可完成。 術後會有一週輕微腫痛,一般止痛藥足以止痛。
緊張的患者 或 複雜的個案 可以考慮 靜脈監測麻醉(MAC) 下進行手術,並不需要全身麻醉,在診所便可進行。
縱使植牙有其潛在的風險,但亦是除全口活動假牙之外的最好選擇。選你的治療,除了知道它的好處外,
ref:
1. Clin Implant Dent Relat Res 2019 Aug;21(4):565-577. doi: 10.1111/cid.12769. Epub 2019 Mar 28.
讓更多朋友看到這資訊 >>
選文:Tammy 編審:星Sir
醫護研習組
醫護研習組
相關文章所提供的資料及相關醫護資訊,
只作一般性參考用途,並不能取代醫生會面診斷之效果。
如有身體不適請即求診,切勿延誤治療。
若資料有所漏誤,本網及相關資料提供者恕不負責。
只作一般性參考用途,並不能取代醫生會面診斷之效果。
如有身體不適請即求診,切勿延誤治療。
若資料有所漏誤,本網及相關資料提供者恕不負責。
![]() |
牙冠增長術:改善露牙齦,重拾自信的笑容 |
|---|---|
| 有部分女生從來不敢盡情展現笑容,因為一旦大笑就會露出牙齦牙肉,長遠甚至影響她們的自信心。其實,醫學上是有方法可以改善有關情況,透過....... |
![]() |
傳統牙箍vs隱形牙箍點揀好?箍牙箍一世?牙醫解答4個箍牙迷思 |
|---|---|
| 1. 主要有三種不同的箍牙方法 2. 箍牙方法:傳統牙箍 vs 隱形牙箍點揀好? 3. 完成箍牙後牙齒可以永遠整齊?定或要箍牙....... |
![]() |
牙醫為你拆解5大孕婦必睇牙科迷思 |
|---|---|
| 不少人在懷孕期間都會出現牙齦紅腫及流牙血等口腔問題,但坊間對於孕婦進行牙科檢查都存有眾多迷思,包括懷孕期間究竟能否看牙醫?有傳生一....... |
![]() |
拆解5大常見補牙物料優缺點及補牙後護理貼士 |
|---|---|
| 補牙是牙科其中一個較為常見的治療方案,主要適用於輕、中程度的蛀牙情況,防止牙齒組織繼續受破壞,同時我們亦可以透過補牙恢復牙齒的形狀....... |
![]() |
植牙手術風險、成敗因素及補救方法 |
|---|---|
| 植牙技術在近年成為了其中一個常見的缺牙治療方案,但不少病人都誤以為接受植牙手術後重新擁有健全的新牙齒,從此一勞永逸。其實植牙手術後....... |
相關文章所提供的資料及相關醫護資訊,
只作一般性參考用途,並不能取代醫生會面診斷之效果。
如身體不適請即睇醫生,切勿延誤治療。
如資料有誤本網及相關資料提供者恕不負責。
只作一般性參考用途,並不能取代醫生會面診斷之效果。
如身體不適請即睇醫生,切勿延誤治療。
如資料有誤本網及相關資料提供者恕不負責。










更多
即時提問 ?
