5類人是牙周病高危一族! 牙醫話你知治療及預防方法
當不少人發現自己刷牙時有出血情況,都會立即聯想起牙周病。其實,牙周病是都市人常見的口腔問題,成因主要是因為口腔內的牙菌膜長期積聚而引起炎症。究竟牙周病有甚麼特別症狀?最嚴重情況是甚麼?有哪些人是高危一族呢?目前針對牙周病又有甚麼治療方法呢?以下將會帶大家深入探討甚麼是牙周病!
甚麼是牙周病?
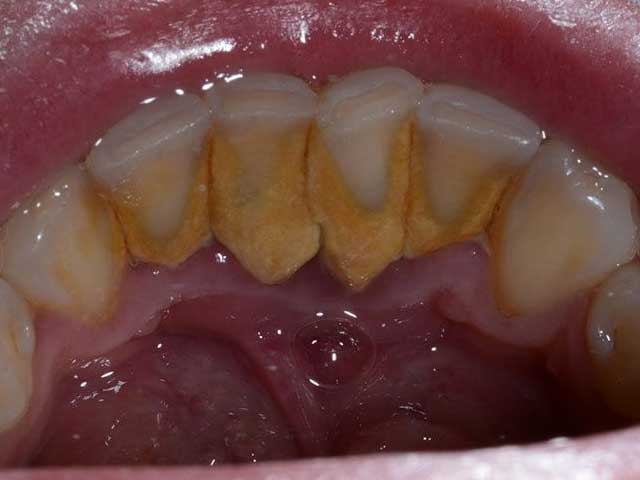
牙周病泛指牙齒周圍組織的疾病,淺白地說包括牙肉及牙骨位置。它主要成因是牙菌膜長期積聚於牙周袋內造成毒素分泌,病人無法自行清潔,從而引起牙周組織發炎,牙骨萎縮,形成牙周病。
究竟有甚麼原因導致牙菌膜長期積聚呢?元兇主有兩個,第一,是未有妥善地清潔口腔,大部分牙周病患者日常均未有正確妥善地清潔口腔,導致食物渣滓容易積藏在牙齦的縫隙內,最終形成「牙菌膜」和「牙石」。第二,有部分人天生出現牙齒排列不整齊的情況,令他們的牙齒難於清潔,容易積聚牙菌膜,增加患有牙周病機會。
究竟有甚麼原因導致牙菌膜長期積聚呢?元兇主有兩個,第一,是未有妥善地清潔口腔,大部分牙周病患者日常均未有正確妥善地清潔口腔,導致食物渣滓容易積藏在牙齦的縫隙內,最終形成「牙菌膜」和「牙石」。第二,有部分人天生出現牙齒排列不整齊的情況,令他們的牙齒難於清潔,容易積聚牙菌膜,增加患有牙周病機會。
誰是牙周病高危一族? 5類人士宜多加注意
在了解完牙周病的主要成因後,接下來為大家拆解5類患周牙病的高危一族!
1. 吸煙人士
吸煙人士患牙周病的機率較非吸煙者高5倍或以上,這是因為尼古丁會使我們的血管出現收縮,致出血情況不明顯,令人難以察覺牙齦發炎情況,容易加劇牙周病病情惡化。
2. 孕婦
孕婦在懷孕期間荷爾蒙分泌系統會自動出現變化,令牙齦容易對牙菌膜的分泌毒素產生過敏反應,形成「妊娠期牙齦炎」,從而增加患牙周病機會。
3. 糖尿病患者
糖尿病患者體內血糖較高,由於血液內含糖量變高,會影響身體其他部位的新陳代謝變差,最終出現壞死細胞多於新生細胞情況,致傷口較難痊癒,免疫系統亦會變差,如患者未有徹底清潔口腔,牙菌膜細菌便容易入侵口腔,導致牙周病。
4. 服食某類藥物
服食降血壓及抗腦癇癥等藥物,均會使牙齦纖維細胞增生,導致牙齦腫脹、牙菌膜更易積聚,增加患牙周病機率。
牙菌膜及食物渣滓容易積藏在假牙與牙齦之間縫隙,導致患者容易患上牙周病。
初期牙周病患者會出現牙肉紅腫、刷牙時流血等症狀,如未有及時治療,情況將會持續惡化,導致牙齦邊緣嚴重紅腫、牙齦出現萎縮,甚至出現牙周袋,最終令牙齒變鬆或移位,甚至完全脫落。牙周病為一個慢性疾病,所以在病情初期及早接受診斷及治療,牙周病是可以自然痊癒。
一般來說,牙醫大多會建議初期牙周病患者接受「非手術牙周治療」(NSPT)。究竟甚麼是非手術牙周治療呢?首先,牙醫會先檢查患者的口腔狀況,當確定為初期牙周病時,牙醫會為患者進行洗牙療程 ,徹底清除牙石及牙周袋內的牙菌膜。同時,牙醫亦會教導患者正確有效的口腔清潔方法,包括是每日使用牙刷、牙縫刷及牙線徹底清潔牙齒及牙齦位置,並需要定期覆診接受口腔檢查,防止病情出現惡化。只要患者在病情初期及早接受治療,並維持良好口腔衞生,牙周病是可以自然痊癒!
最後,所謂預防勝於治療,如果大家不想患有牙周病,就需要由日常生活習慣做起,包括每日使用牙刷、牙縫刷及牙線徹底清潔牙齒及牙齦位置,避免牙菌膜積聚。同時,建議大家每年最少前往牙醫診所檢查口腔一次,並接受洗牙療療程,以去除牙菌膜及牙石,大大降低患有牙周病機會!
5. 佩戴假牙
牙菌膜及食物渣滓容易積藏在假牙與牙齦之間縫隙,導致患者容易患上牙周病。
牙周病有甚麼治療方法呢?
初期牙周病患者會出現牙肉紅腫、刷牙時流血等症狀,如未有及時治療,情況將會持續惡化,導致牙齦邊緣嚴重紅腫、牙齦出現萎縮,甚至出現牙周袋,最終令牙齒變鬆或移位,甚至完全脫落。牙周病為一個慢性疾病,所以在病情初期及早接受診斷及治療,牙周病是可以自然痊癒。
一般來說,牙醫大多會建議初期牙周病患者接受「非手術牙周治療」(NSPT)。究竟甚麼是非手術牙周治療呢?首先,牙醫會先檢查患者的口腔狀況,當確定為初期牙周病時,牙醫會為患者進行洗牙療程 ,徹底清除牙石及牙周袋內的牙菌膜。同時,牙醫亦會教導患者正確有效的口腔清潔方法,包括是每日使用牙刷、牙縫刷及牙線徹底清潔牙齒及牙齦位置,並需要定期覆診接受口腔檢查,防止病情出現惡化。只要患者在病情初期及早接受治療,並維持良好口腔衞生,牙周病是可以自然痊癒!
如何預防牙周病
最後,所謂預防勝於治療,如果大家不想患有牙周病,就需要由日常生活習慣做起,包括每日使用牙刷、牙縫刷及牙線徹底清潔牙齒及牙齦位置,避免牙菌膜積聚。同時,建議大家每年最少前往牙醫診所檢查口腔一次,並接受洗牙療療程,以去除牙菌膜及牙石,大大降低患有牙周病機會!
讓更多朋友看到這資訊 >>
選文:Tammy 編審:星Sir
醫護研習組
醫護研習組
相關文章所提供的資料及相關醫護資訊,
只作一般性參考用途,並不能取代醫生會面診斷之效果。
如有身體不適請即求診,切勿延誤治療。
若資料有所漏誤,本網及相關資料提供者恕不負責。
只作一般性參考用途,並不能取代醫生會面診斷之效果。
如有身體不適請即求診,切勿延誤治療。
若資料有所漏誤,本網及相關資料提供者恕不負責。
![]() |
牙冠增長術:改善露牙齦,重拾自信的笑容 |
|---|---|
| 有部分女生從來不敢盡情展現笑容,因為一旦大笑就會露出牙齦牙肉,長遠甚至影響她們的自信心。其實,醫學上是有方法可以改善有關情況,透過....... |
![]() |
傳統牙箍vs隱形牙箍點揀好?箍牙箍一世?牙醫解答4個箍牙迷思 |
|---|---|
| 1. 主要有三種不同的箍牙方法 2. 箍牙方法:傳統牙箍 vs 隱形牙箍點揀好? 3. 完成箍牙後牙齒可以永遠整齊?定或要箍牙....... |
![]() |
牙醫為你拆解5大孕婦必睇牙科迷思 |
|---|---|
| 不少人在懷孕期間都會出現牙齦紅腫及流牙血等口腔問題,但坊間對於孕婦進行牙科檢查都存有眾多迷思,包括懷孕期間究竟能否看牙醫?有傳生一....... |
![]() |
拆解5大常見補牙物料優缺點及補牙後護理貼士 |
|---|---|
| 補牙是牙科其中一個較為常見的治療方案,主要適用於輕、中程度的蛀牙情況,防止牙齒組織繼續受破壞,同時我們亦可以透過補牙恢復牙齒的形狀....... |
![]() |
植牙手術風險、成敗因素及補救方法 |
|---|---|
| 植牙技術在近年成為了其中一個常見的缺牙治療方案,但不少病人都誤以為接受植牙手術後重新擁有健全的新牙齒,從此一勞永逸。其實植牙手術後....... |
相關文章所提供的資料及相關醫護資訊,
只作一般性參考用途,並不能取代醫生會面診斷之效果。
如身體不適請即睇醫生,切勿延誤治療。
如資料有誤本網及相關資料提供者恕不負責。
只作一般性參考用途,並不能取代醫生會面診斷之效果。
如身體不適請即睇醫生,切勿延誤治療。
如資料有誤本網及相關資料提供者恕不負責。
















即時提問 ?
