[ 會員#24796 ] Siumeimei
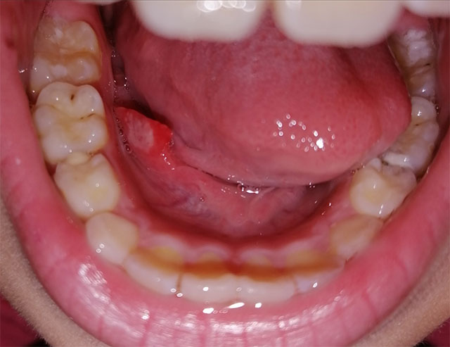
心急!請問這是口腔癌症狀嗎?!
李卓漢醫生回覆: [ 02/12/2020 ]
你所形容的情況更加像是痱滋,和周圍腫起了的肉塊。這個年紀口腔癌的機會非常罕有!若果過幾天還沒有好轉,請帶他去看醫生,因為口述的病徵不是最好的診斷方法。
以上資料只供參考,不能作診症用途,
請與家庭醫生查詢並作出適合治療。
如有身體不適請即求診,切勿延誤治療。
若資料有所漏誤,本網及相關資料提供者恕不負責。

請與家庭醫生查詢並作出適合治療。
如有身體不適請即求診,切勿延誤治療。
若資料有所漏誤,本網及相關資料提供者恕不負責。

Match990520 : 發燒搵唔到原因
病患者男 - 13歲 本人女女今年13歲,8月中曾返大陸嘅貓cafe同貓有過接觸,幾日後女女發現左邊頸淋.......yudy chan : 小朋友 突然之間有氣管敏感
病患者女 - 7歲 醫生你好 我小朋友在今年年初病完後就不停咳嗽, 經常話有痰係喉嚨中間,之後會發燒.......Ivy : 乳房硬塊
病患者女 - 9歲 沖涼時發現乳頭有硬塊, 已一個多月, 但唔痛, 都好大粒, 怕係乳癌, 應該做咩檢查.......Kai Cheung Chong : 一歲BB肚痾
病患者男 - 1歲 我兒子剛剛一歲,剛剛打完一歲針3天,隔天有嘗試過外出餐廳食飯 現時已經肚痾幾.......Eva Kong : 有氣青檸梳打水
病患者女 - 4.5歲 上述提及是我姪女, 因每次見面都只見佢父母帶有氣青檸梳打水當水飲,當好言相勸就問.......Dorine : 服延經藥後能否繼續餵母乳嗎?
您好! 將會去旅行但不想月經影響,醫生開了norcolut延經藥給我。服藥後能否繼續餵母乳?停藥多久可以餵母.......Zoey : 突然唔食奶樽飲奶
病患者女 - 50日 醫生 你好 我個女50日大 因為人奶一直都唔夠 所以BB出世開始都係人奶 奶粉兩.......Shuping Ji : 新生兒黃膽
病患者男 - 出生21天 醫生,您好!今天是BB出生第21天.在出生第4天開始出現黃膽,膽紅素值16mg.......michelle ho : 小兒由6月開始胃頂便秘作嘔,不能根治
病患者男 - 12歲 本人小兒上年患類風濕關節炎,今年1月,5月中新冠,6月中開始一食嘢就覺頂住,便秘仲.......Sophia baba : BB 撞到頭腫
BB 8 個大時撞到頭,已到中大醫院檢查做腦CT scan 無任何出血或其他問題,只是腫起 但4個月後撞....... 發出提問使用細則
致李卓漢醫生 提問




其他李卓漢醫生醫務信箱回覆
即時提問 ?

